Insight — طرح درمان باید آینده را هم ببیند
Clinical Insight
تصمیمگیری پروتزی بر اساس پیشبینی شکست، نه درمانِ وضعیت موجود.
قبل از هر طرح درمانی، فقط «آنچه امروز میبینیم» کافی نیست؛ باید آیندهٔ فانکشنال دندان را هم پیشبینی کنیم. گاهی بهترین تصمیم، جلوگیری از یک شکست قطعیِ آینده است—even اگر در لحظه تصمیم سادهای نباشد.
خلاصهٔ بالینی
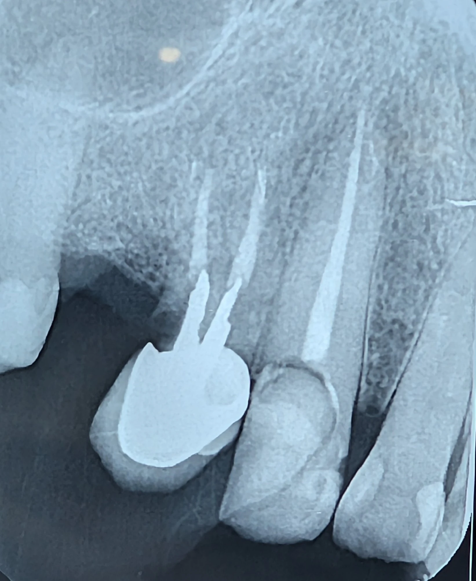
بیمار با نیاز به ایمپلنت برای نواحی ۴ و ۵ مراجعه کرده بود. دندان ۳ بهتازگی درمان ریشه شده بود و بیمار انتظار داشت روی همین دندان نیز روکش قرار بگیرد.
در ارزیابی رادیوگرافی و کلینیکی مشخص شد:
- فرول پالاتال وجود ندارد (عامل حیاتی در کانین بالا).
- فرول مزیال نیز از بین رفته است.
- موقعیت دندان کانین بهگونهای است که همیشه تحت فشارهای لترال شدید قرار دارد.
در ظاهر، میشد این دندان را نگه داشت، پستوکور گذاشت و روکش کرد. اما این فقط «نگاه به امروز» بود.
مسیر تصمیمگیری: نگاه فقط به اکنون نیست
در ارزیابی تیمی با متخصص لثه، مشخص شد ایجاد فرول پالاتال:
- نیازمند برداشت وسیع استخوان است،
- آیندهٔ پریودنتال را ضعیف میکند،
- و حتی با بهترین کار ترمیمی، بیومکانیک دندان قابل اعتماد نخواهد بود.
اینجا نقطهٔ تصمیم بود: آیندهٔ این دندان در طرح درمان بیمار چقدر ارزش دارد؟
بیمار قرار بود همین حالا برای دو ایمپلنت سرمایهگذاری کند. اگر کانین را نگه میداشتیم و بعدها شکست میخورد، بیمار دوباره هزینه، درمان و ریسک جدید تحمل میکرد.
با توجه به موقعیت استراتژیک کانین، احتمال بالای شکست آینده و اینکه بیمار همین حالا در فاز ایمپلنتگذاری بود؛ بهترین تصمیم حذف دندان ۳ و طراحی ایمپلنتها در نواحی ۳ و ۵ بود.
نکتهٔ کلیدی
طرح درمان خوب، فقط عکس و کلینیکِ امروز نیست؛ آیندهٔ فانکشنال را هم باید دید.
گاهی انتخاب بهترین، یعنی انصراف از درمانی که در ظاهر ممکن است، اما در آینده هزینه، ریسک و شکست قطعی ایجاد میکند.
در این کیس، با دیدن آینده:
- بیمار از شکست حتمی کانین نجات پیدا کرد،
- ریسک فانکشنال حذف شد،
- و یک پلان پایدار با ایمپلنتهای ۳ و ۵ برایش ساخته شد.
محتوای این صفحه برای استفادهٔ آموزشی دندانپزشکان و دانشجویان دندانپزشکی تهیه شده است.