DentCast
DentCast
دکتر فواد شهابیان

Lite-CAST

چرا عکس پانورامیک برای تشخیص پوسیدگی مناسب نیست؟

تاریخ انتشار: آخرین بازبینی:

گاهی بیماران فکر می‌کنند یک عکس پانورامیک (که به آن OPG یا «عکس بزرگ» هم گفته می‌شود) برای بررسی همه مشکلات دندانی کافی است. اما هر نوع رادیوگرافی کاربرد خاص خود را دارد.

عکس پانورامیک چه اطلاعاتی می‌دهد؟

عکس پانورامیک دندان‌ها (OPG)
نمای کلی فک‌ها و دندان‌ها در عکس پانورامیک (OPG)

عکس پانورامیک نمای کلی از فک‌ها، مفاصل و موقعیت دندان‌ها را نشان می‌دهد و برای بررسی وضعیت عمومی دهان بسیار مفید است.

با این حال، به دلیل بزرگ‌نمایی تصویر و کاهش وضوح جزئیات، پوسیدگی‌های کوچک یا بین دندانی در این تصویر به‌خوبی دیده نمی‌شوند.

چرا عکس‌های کوچک دندانی دقیق‌تر هستند؟

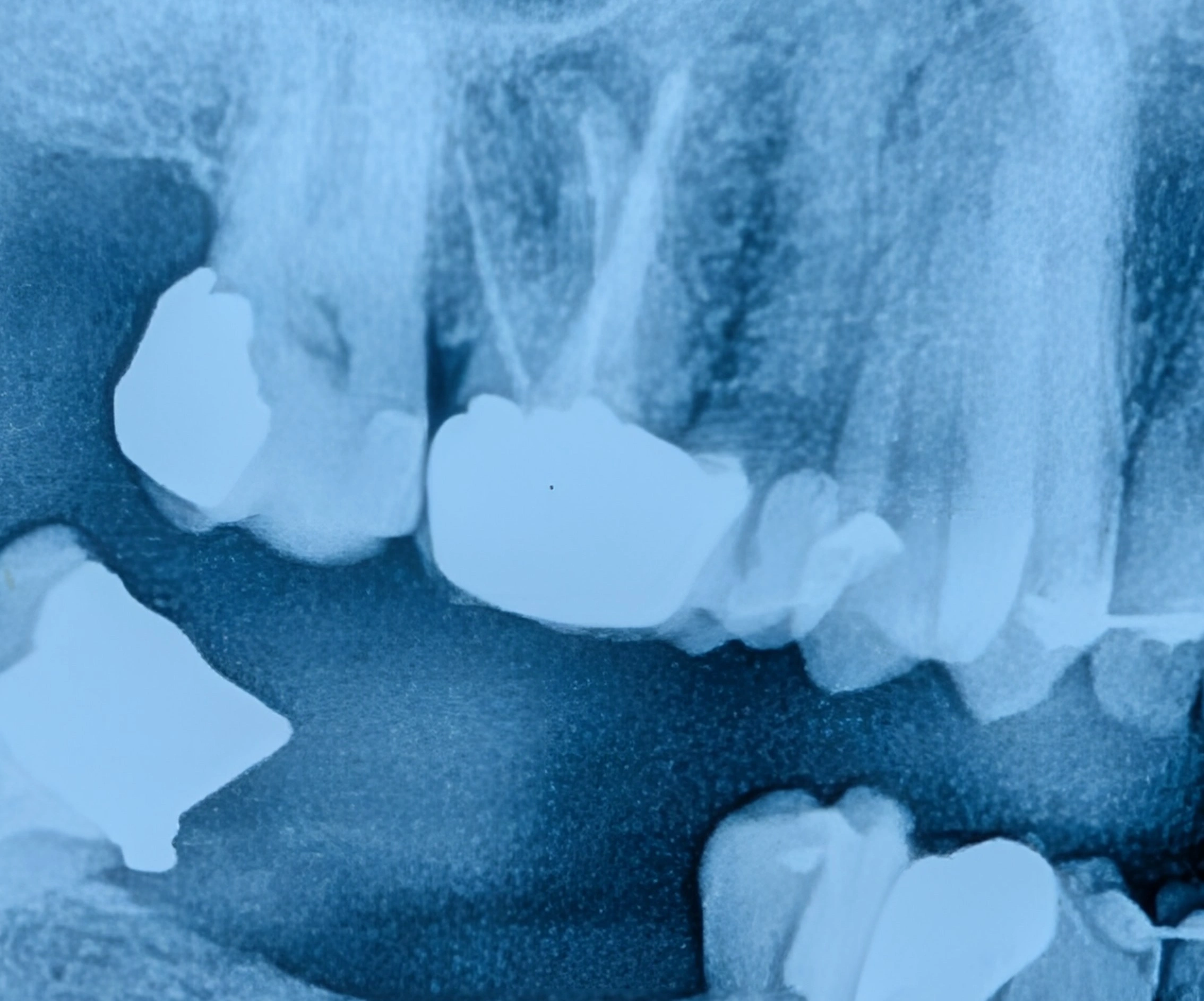
رادیوگرافی PA دندان‌های خلفی
نمای دقیق‌تر دندان‌ها در رادیوگرافی PA

عکس‌های کوچک دندانی مانند PA یا بایت‌وینگ روی چند دندان مشخص تمرکز دارند و جزئیات بسیار دقیق‌تری نشان می‌دهند.

به همین دلیل، این تصاویر بهترین روش برای تشخیص پوسیدگی‌های بین دندانی و بررسی مشکلات ریشه دندان محسوب می‌شوند.

نمونه مقایسه در این بیمار

در تصاویر مربوط به دندان‌های ۴، ۵ و ۶ فک بالا، در عکس پانورامیک ناحیه بین دندان‌ها واضح دیده نمی‌شود، اما در تصویر PA همان ناحیه با جزئیات بیشتر قابل مشاهده است و تشخیص پوسیدگی با دقت بالاتری انجام می‌شود.

جمع‌بندی

عکس پانورامیک (OPG یا عکس بزرگ) برای بررسی کلی وضعیت دهان بسیار مفید است، اما برای تشخیص پوسیدگی‌های کوچک و بین دندانی، عکس‌های دقیق‌تر دندانی لازم هستند.

این محتوا صرفاً جنبهٔ آموزشی دارد و جایگزین تشخیص یا درمان حرفه‌ای نیست.

برای درمان ایمپلنت با ما تماس بگیرید

تماس با مطب و نوبت‌دهی
دکتر فواد شهابیان متخصص پروتزهای دندانی و ایمپلنت
← برگشت به صفحه‌ی قبل

جستجوی سراسری دنت‌کست